Way to go Fellas......:triplefacepalm:
Geek must have a lot of "talent" as he never wears a backpack! That's it I'm selling my backpack!![]()

Geek must have a lot of "talent" as he never wears a backpack! That's it I'm selling my backpack!![]()




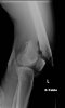
Me having talent, that is funny and I just about spit up dinner. Even Palmer told me I just grew a pair on the last ride.
......I though I was the only one who did the one last ride


Click the Multi-Quote button below each post you wish to qoute and then hit Reply.ohh how do you reply to each post?...im such an amateur![]()
Hope the physio goes well