Thor boots w/ ratchet buckles

Man I have really wanted a pair since they came out. I tighten my boots down soooo tight my feet go cold. Like I almost need a mallet to get down the buckles :lol: It really helps my speed though! Makes me seconds faster on every lap :noidea: I tighten all my gear up like that.
 
yea if i didnt just buy sidi's a few months back i would be trying these ... as long as you cant bend the boot sideways that is.

SiDi's are suppose to be real good boots too...:thumb:...I just like these Thor's cuz they're made for guys like me! :smirk:
 
SiDi's are suppose to be real good boots too...:thumb:...I just like these Thor's cuz they're made for guys like me! :smirk:
the sidi's are good boots. all the support you would ever need. they are expensive tho. my only concern with the Thor's ... if you can bend the boot sideways then its worthless as far as saftey goes.
 
the sidi's are good boots. all the support you would ever need. they are expensive tho. my only concern with the Thor's ... if you can bend the boot sideways then its worthless as far as saftey goes.

Very true...The new boot by Scott would definately fill that bill. They use to make one similar a looooong time ago and have re-emerged with anotherone...it's got a plastic shell on the outside...not sure about the new style but the old ones had a hinge at the ankle...there was NO bending sideways at all! :thumb: :shocked:
 

James

Staff member
Simple sollution......don't put your foot down and don't crash! That is all! :prof: dang, that looks like it hurt! :shocked:
:lol: Good advice. :thumb:

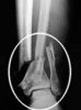
Here's what happened to a buddy last year when he bailed and landed on his foot (came up short on a double). I still remember seeing him fall "out of the sky". :shocked: :crash:

39539_1415671120005_1479410673_30853941_6254917_n.jpg

His boots weren't the greatest and allowed a lot of side bending, he now has new/better boots. :smirk:
 
Simple sollution......don't put your foot down and don't crash! That is all! :prof: dang, that looks like it hurt! :shocked:

:lol: Good advice. :thumb:

Here's what happened to a buddy last year when he bailed and landed on his foot (came up short on a double). I still remember seeing him fall "out of the sky". :shocked: :crash:

View attachment 2741

His boots weren't the greatest and allowed a lot of side bending, he now has new/better boots. :smirk:
Never crashed or went down when this one happened. Just a little too fast coming down a hill climb and got off coarse.

Ankle.jpg
 
Top