https://youtu.be/7GWe5AkSwpM
Trying to make a little track in the woods just outside of town.
Sent from my SM-A750GN using Tapatalk
Trying to make a little track in the woods just outside of town.
Sent from my SM-A750GN using Tapatalk

Ok, so I was taking it easy and...…..View attachment 32588 View attachment 32589 View attachment 32590
The bike is fine. They always arehow's the bike?![]()
Didn't you notice the background in the pics JohnThat’s motocross for ya, you should ride desert and take it easy and you won’t get hurt lol.

Ok, so I was taking it easy and...…..View attachment 32588 View attachment 32589 View attachment 32590
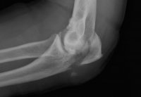
Pretty f'n benign. Riding along a ridge with a kinda a wash between the one I was on and another one. Both prolly 8' high with about 3' of a wash between them. So I go down the one and start to go up the other side. The one I go down is kinda hard packed but the one I start going up is kinda soft so the bike starts to sink in. I figured I wasn't gonna make it so I turn to the left, which is the downhill slope of the whole area but the bike kinda sinks in some more and I figured the bike was gonna stall so I swing my right foot over the back of the bike to get off the bike but now I am facing uphill so I start falling backwards. I was prolly only 4' up the hill but gravity takes over and my lack of grace and my, uh, er, girth cause me to kinda just stumble backwards down the hill to the bottom. When I get to the bottom I fall on my ass and my...…..elbows. And wouldn't you know it, my left elbow found 1 of the 3 boulders in the whole area.....SMACK! With all my weight it drives my Humerus bone (really not funny) right through my Ulna bone (elbow) shattering it....Oh damn! More racing titanium. Let’s hear the story.

When they finally unwrapped all the bandages my buddies had put on they got to the last one. My wife went, "ooohhh", and left the room. The Dr handed me a gauge pad and said "hold it here with some pressure, I'll be right back"

Yea, see aboveWTH are you doing Ken? Geese, is this really another whack this soon?


Yea, see above![]()
Is that Rainbow?Scene of the crime....
View attachment 32593
Yea, since my wife had shoulder surgery in March, that ate up all of our "family deductible" so this $103K bill was covered at 100%.Is that Rainbow?
Shit dude, you should just be like me and leave any purgatory hard enduro riding for the ones that like that shit. I prefer to ride, not bulldog, and stay away from overly technical in my old age. Especially with the shit insurance I have now being retired, I don't want to spend my savings on something stupid.
But I get it, it was just a little ride with some buddies, and that is how it goes. Sorry to here this shit, heal quick, and don't let the wife take the bike away.

